Freiberg's Infraction (Osteonecrosis of the Metatarsal Head)
Synopsis
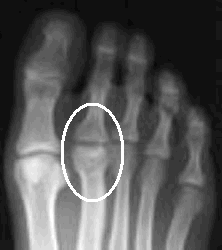
Freiberg's infraction occurs when the end part (head) of the 2nd metatarsal
bone (the toe closest to the big toe) in the foot dies due to an inadequate
blood supply. It is more common in girls than boys and most often appears
between the ages of 11 and 17 years. The condition happens more often in
girls because their second toe is often longer than their 1st
metatarsal. This means it bears more weight and may be prone to more
injury. The condition is often caused by repetitive stress when tiny fractures
can occur between the bone and the growth plate. These tiny breaks
interfere with the circulation and not enough blood reaches the bone causing the
cells to die.

Symptoms and Treatment
When the condition is first noticed, there is often:
An x-ray may show a flattening of the bone in the early stages. At
this point, treatment may consist of a short leg walking cast and avoidance of
strenuous activity, including sports. The cast often stays on for three to
four weeks and eliminates the symptoms.
There is no single definitive treatment for the condition. While some doctors use casts, others prefer to make adjustments to the shoes and may prescribe orthotics. Still others may suggest surgery to get rid of any debris in the joint area. Surgery should be considered only if other treatments have not produced any relief.